Er kunnen verschillende redenen zijn waarom we de voortanden verfraaiien, bijvoorbeeld: om cosmetische redenen, omdat de oude restauraties/ kronen niet meer voldoen, omdat een tand verloren gaat, vanwege gaatjes/ slijtage, om standcorrecties uit te voeren.
Mooiere tanden kunt u op verschillende manieren verkrijgen, hieronder ziet u enkele voorbeelden uit onze eigen praktijk:

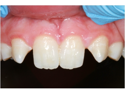
wens tot verbetering esthetiek      met  Filtek Supreme composiet hoeken (draculatandjes)                                 opgebouwd
    
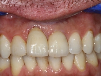
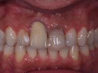
onesthetische kroon+ donkere        gebleekt met BriteSmile en 2
voortand                                             zirconium-kronen via Oral Design Centre
     

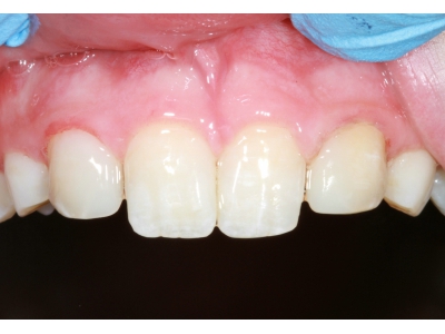
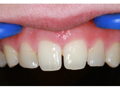
wens tot sluiten centraal                centraal spleetje gesloten met
diasteem (spleetje)                         Filtek supreme composiet                       
     

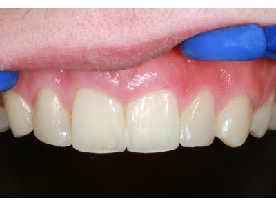
wens tot lichtere tanden                gebleekt met BriteSmile